Genetic Risk Factors Related to the Loss of Taste and Smell in Covid-19
Approximately 1.6 million individuals in the United States are still incapable of taste or smell, several months after being affected with COVID-19. In recent...
Omicron Variant: What should we know?
First identification
On November 24, 2021, the World Health Organization (WHO) reported on a novel variant of severe acute respiratory syndrome coronavirus 2 (SARS-CoV-2), the...
The Dangers of Iron Imbalance in Our Body
Our body is a complex structure composed of various elements and molecules. One of our building blocks is iron—a fantastic metal that helps us...
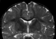
Promising treatment for Alexander disease
Alexander disease refers to a progressive disorder of cerebral white matter, commonly detected in infants and children. Its prevalence is unknown; however, approximately 500...
Autism Affects Gut Bacteria and Not the Other Way
Autism spectrum disorders comprise a diverse group of conditions involving developmental problems of the nervous system, which affect the interactions with the environment and...
Yoga —The Science Behind its Benefits
“Meditation brings wisdom; lack of meditation leaves ignorance. Know well what leads you forward and what holds you back, and choose the path that...
An mRNA-Based Anti-Tick Vaccine Can Prevent Lyme Disease
The population of ticks is growing and their topographical ranges are increasing, besides an upsurge in habitats apposite for these vectors. Ticks generally transmit...
Magnetic Brain Stimulation Can Boost Our Memory
We remember things, words, and experiences from the past with the help of our memory. Episodic memory, damaged in some dementias and neuropathologies, stores...
Little Cancer Exterminators: Natural Killer Cells From Our Bodies, a New Treatment for Fighting...
Cancer is a worldwide burden and is a leading cause of death, accounting for nearly 10 million during the last year. The name of...
Youthful Gut, Rejuvenated Brain: Intestinal Bacteria from Young Mice Reverse Aging
Aging is a natural process all living organisms undergo. As humans, we experience changes to our external features as well as internal functions and...
















