Rita dos Santos Silva
Contagious Cancers: Lessons From the Tasmanian Devil
Contagious cancers are uncommon; tumour cells rarely go around jumping from one individual to the other. Unless that individual is a Tasmanian Devil -...
Real-Time Projections of Ebola Outbreak in the Democratic Republic of Congo
Fifty-four people have been diagnosed with the Ebola Virus Disease since May 8, when the World Health Organization (WHO) announced the outbreak in the...
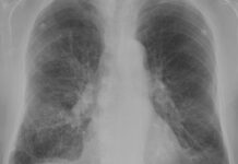
The Ethics of Pharmaceutical Companies in the Treatment of Severe Asthma
Dupilumab is close to entering the market to treat moderate to severe asthma patients. The editorial of NEJM asks for ethic clinical trials from pharmaceutical companies so that all patients can benefit from new treatments.
Study Reveals Worldwide Water Availability
Trends in terrestrial water availability, from 2002 until 2016.
World Press Freedom Day 2018 | The Deadliest Countries for Journalists
May 3, 1993: The United Nations members sign the Declaration of Windhoek, in Namibia. The document encourages an independent and pluralistic press in African...
English Language Day
The UN celebrates the English Language on this day. The 23rd of April marks both the birthday and death of William Shakespeare, the great...
Citizens Cross Borders; Welfare Policies Should Too
Dr. Peggy Levitt, Chair of Sociology at Wellesley College and Senior Research Fellow at the Weatherhead Center for International Affairs, talked to UA Magazine...
February Issue | Health – Why Do We Care?
The oldest documented medical procedure involved drilling a hole in the skull of the patient and removing a piece of it without damaging the...
Turn Your Back to Xenophobia and Populism Will Flourish – World Report 2018
The Human Rights Watch released the World Report 2018, the annual overview of human rights practices around the globe from late 2016 to November 2017.
2017 in Review. Part II
It is time to look back at the best science stories from 2017; some were scary, others just funny. Here's the second part of our selection, from July until December.









